院庆专题网
新OA
院史馆
本站首页
医院概况
就诊指南
入院服务
出诊信息
体检指南
医保服务
科室导航
价格公示
新闻动态
综合新闻
学术新闻
技术突破
人文故事
媒体聚焦
视觉省医
电子院报
健康科普
科普文章
科普视频
科普讲堂
通知公告
最新公告
招采信息
医疗工作
医疗公告
医疗动态
护理工作
护理公告
护理动态
科教工作
科教公告
科研动态
教育培训工作
研究生工作
临床试验
党建工作
党建动态
群团工作
党纪学习教育
本站首页
医院概况
就诊指南
入院服务
出诊信息
体检指南
医保服务
通用政策
省直医保
郑州市医保
省内异地医保
跨省异地医保
科室导航
内科医学部
神经精神医学部
心血管病医学部
肿瘤医学部
血液病医学部
老年医学部
外科医学部
骨科医学部
妇儿医学部
生殖医学部
河南省立眼科医院
综合医学部
中医医学部
急危重症医学部
麻醉医学部
康复医学部
健康医学部
医技医学部
药学部
价格公示
新闻动态
综合新闻
学术新闻
技术突破
人文故事
媒体聚焦
视觉省医
电子院报
2026年
2025年
2024年
2023年
2022年
2021年
2020年
2019年
2018年
2017年
2016年
2015年
2014年
2012年
健康科普
科普文章
科普视频
科普讲堂
通知公告
最新公告
人事招聘
招采信息
医疗工作
医疗公告
医疗动态
护理工作
护理公告
护理动态
科教工作
科教公告
科研动态
教育培训工作
研究生工作
临床试验
健康科普
首页
>
健康科普
>
科普文章
>
正文
科普文章
科普视频
科普讲堂
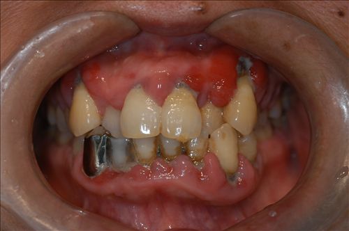
什么是牙周病
时间:2009-11-22
牙周病是指发生在牙齿周围支持组织(包括牙龈、牙周膜、牙槽骨、牙骨质)的感染性、炎症性、破坏性疾病。主要包括两大类,牙龈炎和牙周炎(牙龈炎可以发展为牙周炎)。牙周病的发病率很高,特别是在我国口腔卫生保健相对滞后的情况下,牙周炎是成人丧失牙齿的首要原因。
上一篇:
牙周病的病因
下一篇:
左室射血分数正常的心力衰竭
相关动态
2026-02-07
我院脑机接口和脑科学研究取得两项重要突破
2026-02-06
我院专家团赴巩义参加“健康中原行·大医献爱心”活动
2026-02-05
河南省人民医院与华为技术有限公司签署合作协议
2026-02-04
2025年护理工作总结暨表彰大会举行
2026-01-28
药品临床综合评价启动会暨质控会召开
2026-01-28
药品临床综合评价启动会暨质控会召开